
بسیاری از افراد با مشکلات رایج دهان و دندانی روبرو هستند که به علت عدم آگاهی کافی و اطلاعات نادرست آن را جدی نمیگیرند که در آینده باعث ایجاد مشکلات جدی تری می شود.
مشکلات رایج بیماری های دهان و دندان
مراقبت به موقع از دهان و دندان و پیش گیری از مهم ترین عوامل سلامت دهان و دندان است، همچنین درمان و مراجعه به موقع به دندانپزشک جهت معاینه سالانه باعث صرفه جویی بسیاری در هزینه های درمانی دندانپزشکی خواهد شد. در ادامه این مقاله به برخی از مشکلات رایج بیماری های دهان و دندان اشاره می کنیم.
⦁ به هم ساییدن روزانه دندانها:
اگرشما جزو افرادی هستید که در زمان عصبانیت، تمرکز و یا وارد شدن یک شوک عصبی دندانهایتان را به هم فشار می دهید؟ با اینکار به دندانهایتان لطمه میزنید. به مرور زمان ترک هایی در دندانهایتان ایجاد می شود که باعث ایجاد درد و حساسیت خواهد شد.
برخی اوقات ممکن است بصورت ناخوداگاه در زمانی که خواب هستید یا حتی وقتی که استرسی ندارید دندانهایتان را به هم فشار دهید و بسابید. که از علایم آن احساس درد فک در زمان بیدارشدن از خواب است. اگر شما جزو این دسته از افراد هستید، باید به دندانپزشک خود مراجعه کنید و از او بخواهید برای شما محافظ فک (نایت گارد) تجویز کند تا این حالت اصلاح شود.
⦁ استفاده بی رویه از دهانشویه ها:
استفاده طولانی مدت از دهانشویه ها ممکن است باعث رنگ گرفتن دندان ها و همچنین ایجاد قارچ در محیط دهان شود. برخی از دهانشویه ها حاوی اسید هستند که به مینای دندان آسیب می رساند. میزان مصرف توصیه شده دهانشویه باید کنترل شده و تحت نظر پزشک باشد.

⦁ تمرینات ورزشی سنگین و پرفشار:
با مطالعه برروی ورزشکارانی که ورزش سنگین انجام می دهند نشان میدهد تمرینات سنگین تاثیرات منفی بر روی مینای دندان می گذارد. هرچه تمرینات پرفشارتری انجام شود، شانس پوسیدگی دندان بیشتر است. علت این امر به طور دقیق مشخص نیست اما به نظر میرسد تغییر در میزان بزاق و ضربات وارد شده به صورت و دهان از علت های آن باشد.

⦁ التهاب سینوس:
اگر دردی در دندان عقب فک بالا احساس میکنید یکی از علتهای آن میتواند عفونت سینوس باشد. این حالت به این علت رخ میدهد که ریشه های دندانهای شما مجاور دیواره های سینوس هستند.
⦁ وضعیت دندان ها در زمان بارداری:
معمولا بارداری باعث ایجاد تورم و خونریزی در لثه ها خواهد شد و امکان دارد عفونت، التهاب لثه و پوسیدگی دندان را برای زنان باردار به وجود آورد. بنابراین اگر قصد باردار شدن دارید برای پیشگیری از مشکلات رایج بیماری های دهان و دندان به ملاقات دندانپزشکان کلینیک دندانپزشکی کریستال رفته و دندانهای خود را چکاب کنید.
⦁ درد مفصل گیجگاهی – فکی :
مفصل گیجگاهی – فکی ، فک پایین را به جمجه متصل میکند. صدمات،آرتروز و عوامل دیگرممکن است موجب اشکال در کارکرد این مفصل شود. اگر شما در هنگام جویدن از درد رنج می برید یا هنگام بازکردن دهان خود درد دارید و بیش از مقدار مشخصی نمیتوانید باز کنید، باید به دندانپزشک مراجعه کنید.
⦁ آیا بعد از جرم گیری دندانهایتان درد دارد؟
اگر برای جرمگیری و پالیش نزد دندانپزشک مراجعه کرده اید و دندانهایتان حساس شده است، این امری طبیعی است چون چند روز اول بدلیل بازشدن منفذهای مینایی این اتفاق رخ میدهد. برای کاهش درد از خمیردندانهای ضد حساسیت استفاده کنید و اگر جرمگیری توسط دندانپزشک انجام شود بسته به نیاز دندان های شما در هر شش ماه تا یکسال هیچگونه آسیب و ضرری ندارد.
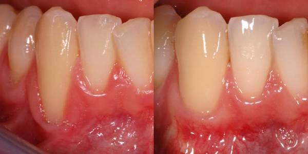
⦁ لثه هایتان درحال عقب روی است:
آیا به تازگی متوجه شده اید که طول دندانهایتان زیاد شده و یا لثه هایتان در حال عقب روی ست؟ این علایم نشانه ی بیماری لثه می باشد که حتما باید برای کنترل آن به متخصص لثه مراجعه کنید.
ممکن است درد حاصل شده، ناشی از دندانهایی باشد که بلندتر به نظر می رسند بنابراین زمانی که مسواک می زنید حواستان به چرک، زخم های دهانی، تنفس بدبو و خونریزی باشد.
در کنار این مسئله یکی از علائم سرطان دهان، دردی گنگ و مبهم در ناحیه دهان و حلق می باشد که بسیار خطرناک است. در صورت وجود این مسئله نزد دندانپزشک بروید.

⦁ استفاده از غذاهای اسیدی:
مواد غذایی پراسید (مانند آبلیمو)، میوه های حاوی اسیدسیتریک (مانند پرتقال، گریپ فروت) و نوشیدنی هایی (مانند قهوه ،نوشابه) مینای دندان را ضعیف می کند و باعث ایجاد پوسیدگی هایی در طوق دندان می شود و ممکن است لبه ی لثه را به رنگ قهوه ای درآورد.
همچنین در افرادی که دچار رفلاکس معده هستند و اسید معده ی آنها بالا می آید نیز توصیه می شود برای جلوگیری از به وجود آمدن چنین حالتی در دندان ها و لثه هایشان به دندانپزشک رجوع کنند.
⦁ مصرف روزانه آب به مقدار کافی:
چنانچه به اندازه کافی آب نمی نوشید دندانهایتان با مشکل روبه رو می شوند زیرا آب نه تنها باقی مانده ی غذا و جرم های بر روی دندان را می شوید بلکه حاوی فلوراید نیز هست که باعث قوی و سالم ماندن دندان ها می شود و باعث پیش گیری از مشکلات رایج بیماری های دهان و دندان می شود.

کلینیک دندانپزشکی کریستال به عنوان مجهزترین کلینیک دندانپزشکی در شرق تهران، کلیه خدمات تخصصی دندانپزشکی در زمینه های جراحی های پیشرفته ایمپلنت و دندانپزشکی ترمیمی و زیبایی با استفاده از جدیدترین متد روز آماده ارائه خدمات است.

مشکلات رایج دندان عقل ، دردسرساز ترین دندان دنیا
پیوند بین سلامت ضعیف دهان و دندان و بیماری ها
مشکلات رایج دندان ها و لثه در بارداری
تغییرات در دهان و دندان عائم بیماری خطرناک هستند
بیماری هایپر دنتی ؛ رشد صدها دندان در دهان !!
مشکلات رایج دندان عقل و راه حل هرکدام
رابطه بهداشت دهان و دندان با بیماری ها
آزمایش خون و تشخیص مهم ترین مشکلات و بیماری ها